

造影剂是心脏介入手术的“指路明灯”,但急性冠脉综合征患者夏先生却对其严重过敏,传统治疗陷入绝境。近日,武汉大学人民医院(湖北省人民医院)心血管医院专家团队另辟蹊径,在血管内超声(IVUS)指导下成功实施“零造影剂”冠脉介入手术(PCI),为患者植入支架打开生命通道,也为造影剂禁忌患者提供了新的治疗思路。
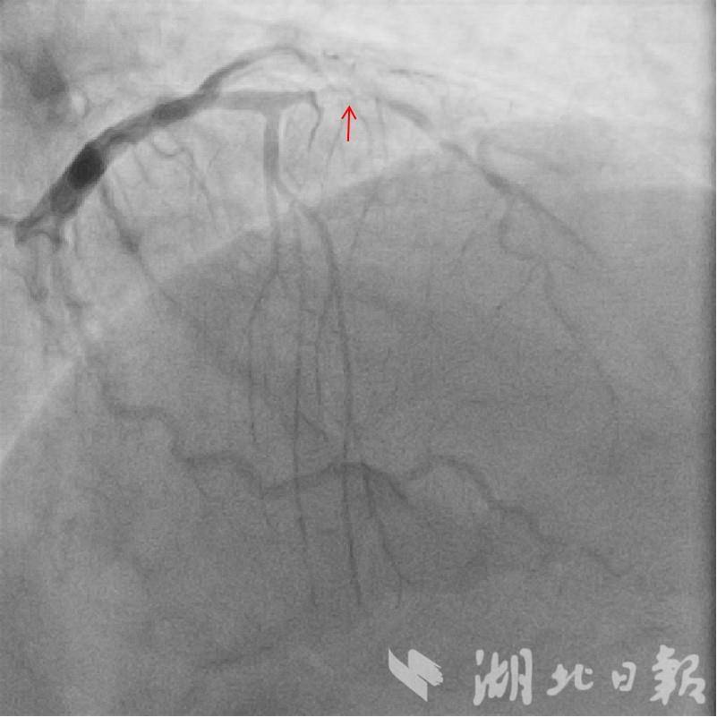
来自湖北宜昌的夏先生,因急性冠脉综合征接受冠脉造影检查时,发现左前降支中段几乎闭塞,同时出现严重造影剂过敏反应,引发顽固性低血压、心室颤动等,经紧急抢救才脱离危险,支架置入手术也被迫中止。常规心脏介入手术离不开造影剂,它能让血管在X 射线下显影,帮助医生制定手术策略、定位支架并评估术后效果,但夏先生的过敏情况让传统方案彻底“碰壁”。不愿放弃微创治疗的他,最终求助于该院心血管医院冠心病Ⅲ 科王朗主任。
“没有造影剂,心脏介入手术就像在黑暗中打仗。”王朗介绍,造影剂是一类用于医学影像检查的特殊药物,能够使血管等结构在X射线下清晰可见,广泛用于心血管疾病的介入诊疗。在冠心病介入治疗中,造影剂更是发挥着不可替代的作用:心脏介入医生需要通过注射造影剂来显示血管形态、制定手术策略、选择型号合适的球囊和支架予以治疗。术中还需要注射造影剂精确地将支架定位在病变处,释放支架后还需要造影剂显示支架膨胀的程度、是否完全覆盖病变达到满意效果,以及有无血栓、夹层等并发症情况。
造影剂过敏、造影剂肾病等问题会限制其使用,无造影剂的PCI 手术难度极高。经过全面评估血管病变,团队决定采用无造影剂PCI的方案,即在血管内超声(IVUS)的指导下,不使用任何造影剂实现冠脉支架的置入。
10月 27日,在麻醉科的配合下,手术正式开展。王朗团队仅靠X 线指引,将导引导管、导引钢丝精准送入病变血管,通过预扩张球囊打开闭塞部位后,送入IVUS 导管。借助这一“血管内超声探头”,团队精确测量病变参数、确定支架规格及定位点,再以分支血管导丝为标记,成功完成支架置入。术后IVUS 复查显示,支架位置精准、膨胀充分、贴壁完美,手术圆满成功,夏先生转危为安。

