熊孩子玩铅笔 意外戳伤眼球险酿大祸
武汉广电掌上武汉
第一时间报道武汉 第一视角呈现武汉
2020-10-14 15:03
关注
记者 李文秀 通讯员 敖盼盼
熊孩子皮起来,让你无法想象。古灵精怪的7岁孝感小女孩小雨(化名)在课堂上玩弄铅笔,笔芯意外将眼球戳伤,眼内容物溢出并形成嵌顿,情况十分危急。医院及时实施了手术治疗,经医护人员精心护理恢复良好,小雨于10月13日出院。

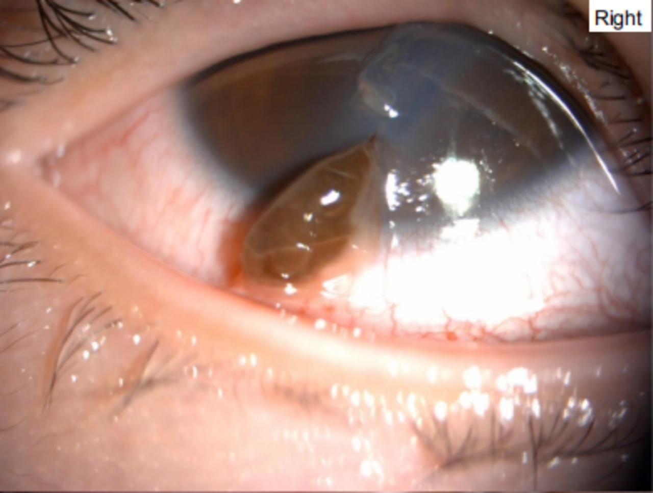
9月29日下午,早早放学回家的小雨向家人哭着喊眼睛疼,手还在不停揉。“我们一看她的右眼,又红又肿,感觉眼球都被戳破了,里面东西要掉出来了。”小雨妈妈江女士回忆说,当时那个场面着实把他们吓了一跳。小雨眼睛是怎么受伤的?家人也没问出个所以然。当天下午,汪女士赶紧带着孩子到了附近医院,但医生检查完建议到武汉治疗。随后,小雨被紧急送到了武汉爱尔眼科医院汉口医院。角膜及眼表科医生检查发现,小雨右眼视力只能看见眼前晃动的手指,并且虹膜组织脱出,嵌顿于角膜伤口处,偏鼻上方角膜板层裂伤约5mm,诊断为“右眼角膜穿通伤伴虹膜嵌顿”。
次日,在全面快速地完善术前相关准备工作后,角膜及眼表科手术专家团队为小雨实施了角巩膜裂伤清创缝合联合前方形成术,手术过程顺利,恢复了眼球完整性,尽最大可能挽救视力。住院期间,小雨向汪女士小心翼翼透露:是自己在玩弄铅笔时,不小心把眼睛弄伤了,生怕责骂所以不敢说。好在发现及时,术后经过10来天的抗炎对症治疗及医护人员的精心护理,小雨眼部情况恢复良好,于10月13日出院。
该院院长、角膜及眼表科主任曾庆延教授表示,眼外伤的致伤物多种多样,几乎可以说任何物体在一定情况下都会成为致伤物,受伤后如果处理不当会严重影响视力,严重者甚至眼球难保。曾庆延教授提醒家长,平日里除了加强孩子的安全教育,增强孩子的防护意识外;还需要反复叮嘱孩子,发生意外后要及时告诉家长,不要因为害怕被责骂而进行隐瞒,以免拖延时间失去治疗时机,造成终身遗憾。
特别声明:本文为人民日报新媒体平台“人民号”作者上传并发布,仅代表作者观点。人民日报仅提供信息发布平台。
打开客户端发表评论
