本文涉及专业知识,仅供医学专业人士阅读参考

快转发到相亲相爱一家人
每次体检
超声检查总是不能少的
躺在检查床上
超声科医生用探头在体表游走
已经足够紧张

而最紧张的时刻
莫过于最后拿到体检报告
超声可能查出乳腺结节、甲状腺结节等
这个结节是好是坏?
问题大不大?
面对一份充满专业术语的超声报告单
该如何解读?
别急,今天我们就通过两份超声报告
为大家送上阅读攻略!
分为懒人版和进阶版哦~
懒人版阅读攻略
适宜人群:没有医学背景的普通人。
阅读重点:关注“超声诊断”中的结节分级,即BI-RADS和TI-RADS,就知道危不危险。
*BI-RADS是乳腺影像报告和数据系统的英文简称。在2003年美国放射学会(ACR)首次提出并建立了乳腺超声诊断标准(BI-RADS-US)。
*TI-RADS则是甲状腺影像报告和数据系统的简写,2009年放射科医生参照乳腺影像报告和数据系统, 第一次提出了甲状腺影像报告和数据系统。
判断结节危不危险?只需看懂TI或BI-RADS分级。
1级:医生评估为阴性,就是说没有发现结节,属安全范畴。
2级:医生评估为良性,指的是存在甲状腺或乳腺结节,不过问题不大,只需做好常规随访即可。
3级:医生评估为可能良性发现,指的是存在恶性的可能(小于2%),需加强定期检查工作。
4A级:低度可疑恶性,比3级更高危,但也不超过50%,建议短期随访复查,必要时穿刺活检
4B级:中度可疑恶性,恶性的可能性超过50%,推荐患者进行穿刺活检或是手术切除。
4C级:高度可疑恶性,可能性多在80%以上,推荐患者手术切除。
5级:典型恶性,可能性多在95%以上,推荐手术切除。
6级:指的是通过穿刺活检确认为恶性肿瘤。
0级:属于较特殊的一个级别,代表超声影像学评价不完全,需要通过其他检测手段予以进一步评估分析。
TI或BI-RADS分级相对平实易懂,便于理解。相信大家看完之后,已经能对甲状腺和乳腺结节进行初步判断了。
一句话总结
对于超声诊断中报告4级及以上的结节,需引起特别重视,必要时需在超声引导下进行穿刺活检。
真实案例
案例一
女性,32岁,来院进行乳腺超声检查,超声诊断如下:

解读:该女性超声诊断为BI-RADS 3级,良性结节考虑,定期随访即可。
案例二
女性,25岁,来院行甲状腺B超检查,超声诊断如下:

解读:该女性超声诊断为TI-RADS 4a,需考虑恶性结节可能,需进一步穿刺活检或短期随访。
进阶版阅读攻略
适宜人群:希望有更深入了解的医学爱好者。
阅读重点:关注“超声所见”中对结节的描述。
甲状腺超声报告中需关注的5个关键词:纵横比接近或大于1,边界不清,血流信号丰富或紊乱,回声不均匀,微钙化。
关键词解释
纵横比接近或大于1,且边界不清,形态欠规整等都需考虑恶性的可能;
恶性结节的内部回声多是“不均匀”,且结节血流信号丰富或紊乱,后方回声减弱或消失;
微钙化是诊断甲状腺癌特异性最高的指标,尤其是乳头状癌。
乳腺超声报告中需关注的5个要点
1、位置与方位
左乳or右乳?只要认识“左”“右”两字,就可以知道结节在哪一侧乳房。就是病变位于乳房的哪个方向。
目前常用方法有两种。
一种比较直观,如“上方、下方、内侧、外侧”等。
另一种是“钟表”法,对应于时钟的位置。如图所示为右侧乳腺,12点对应的是上方,6点对应的是下方,3点对应的是内侧,9点对应的是外侧。以此类推。

2、大小
在B超报告中,对结节大小的测量通常包括三个径线,即“长*宽*高”。而临床医生对结节大小最简单的描述,是取“长、宽、高”三个径线中的最大值,而不是三者的乘积。
3、回声
在乳腺超声报告中,结节一般有四种回声:
强(或高)回声结节:是指结节表现为强(或高)回声,大多数强回声结节为良性病灶表现。

低回声结节:代表乳腺的实质结节,需要结合其他描述来判断是否有恶性可能。

无回声结节:较常见,代表乳腺的囊性结节,是“液态”结节,一般情况下不需要手术。

弱回声结节:介于高与低回声之间的结节,也常常为良性表现。

4、边界与形态
良性肿块边界清晰,有时可见包膜;形态规则,圆形或椭圆形。
恶性肿块一般边界毛糙,欠清晰;形态不规则,呈蟹足状。
还有一种介于良性与恶性的交界性肿瘤,又叫做分叶状肿瘤,顾名思义,这类肿块的形态是分叶状的。
5、血流信号
乳腺超声通常都是彩超,并不是指成像是彩色的,而是成像中能够显示结节的血流信号。
良性结节一般未见明显彩色血流,或者少量点状或条状血流。
恶性结节血流信号丰富,有时呈树枝状。

真实案例
案例一
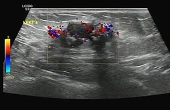
男性,38岁,来院行甲状腺B超检查,超声所见如图

解读:该男性甲状腺B超超声所见结节形态欠规则、纵横比失调,内回声不均,可见多发细点强回声,可见稀疏点状血流信号。恶性结节可能性大,需进一步检查。
案例二
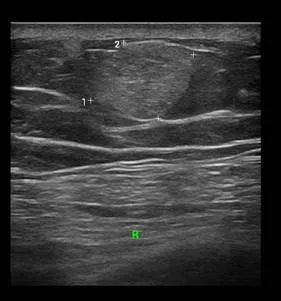
女性,32岁,来院行乳腺超声检查,超声所见如图

解读:该女性左乳下方(6点)可见一约0.6cm大小的低回声结节,界清,形态规则,未见明显血流信号。根据超声所见良性结节考虑,定期随访即可。
结节该怎么处理?
掌握了判断结节好与坏的方法,还需要了解如何对结节进行管理随访。据邵逸夫医院全科与健康促进中心主任陈丽英介绍,体检结束后很多人都发现自己有甲状腺结节或乳腺结节,对此陈主任给出四个随访建议:
对多数良性的甲状腺或乳腺结节,每隔6~12月进行随访即可。
对暂未接受治疗的可疑恶性或恶性结节,特别是超声提示4级及以上的结节,随访间隔需缩短。
要特别注意有提示结节恶变的症状与体征,例如对甲状腺结节,要注意是否出现吞咽或呼吸困难,声音嘶哑,面部浮肿;对乳腺结节,要注意观察是否有乳头内陷,皮肤呈橘皮样改变,质地变硬,及触诊活动度如何。
规律、健康的生活习惯非常重要,心情舒畅、饮食均衡、充足睡眠、适当运动,还有每年的体检。
本文来源:邵逸夫医院
责任编辑:Sweet
