仅供医学专业人士阅读参考

不同脑出血时期的 MRI 表现,你掌握了吗?
磁共振成像的图像(MRI)与 CT 图像非常相似,二者都是“数字图像”,并以不同灰度显示不同结构的解剖和病理的断面图像。与 CT 一样,MRI 也几乎适用于全身各系统的不同疾病。
小界这次着重介绍神经内科中脑血管疾病的 MRI 知识,并邀请来自新乡市中心医院的主治医师马圆和我们分享常见脑血管疾病的 MRI 表现。
本次《常见脑血管疾病的MRI表现》课程的主要内容包括了脑梗死、脑出血、烟雾病、血管畸形以及动脉瘤等在 MRI 中的表现。
因为篇幅原因,本周先介绍脑梗死与脑出血这两大块内容。学习之前,小界简单介绍一下 MRI 的相关知识,磁共振检查主要成像包括:
t2 加权成像(T2WI2 or T-FLAIR2W-);
血管成像(3DT-RA);
弥散加权成像(DWI-ADC);
灌注成像((MR Perfusion PWI)。
脑梗死
脑梗死又称缺血性卒中,中医称之为卒中或中风。本病系由各种原因所致的局部脑组织区域血液供应障碍,导致脑组织缺血缺氧性病变坏死,进而产生临床上对应的神经功能缺失表现。
病因:动脉粥样硬化、栓塞、血管炎、静脉血栓形成。
分类:缺血性、出血性、腔隙性。
病理:细胞毒性水肿、血管源性水肿、脑组织坏死。
如下图所示,脑梗死的发病部位符合动脉血管分布区:

1.脑梗死影像学表现及分期
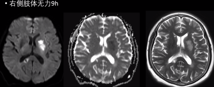
(1)超急性期(<6h):CT 及 MRI 检查阴性,DWI 呈明显高信号。

(2)急性期(6-72h):CT 表现低密度区,MR 表现长 T1 长 T2 异常信号,DWI 呈较明显高信号。

(3)亚急性期(72h-10d):CT 表现同时累及灰白质的楔形或三角形低密度区,MR 可伴出血, DWI 呈明显高信号,占位效应显著,增强扫描可见强化。

(4)慢性期(&11d):脑软化,脑萎缩。

2.特殊类型的脑梗死
(1)腔隙性脑梗死
穿支小动脉闭塞引起的小面积缺血坏死。
好发于基底节、丘脑,其次脑干、小脑。
直径 10~15 mm。

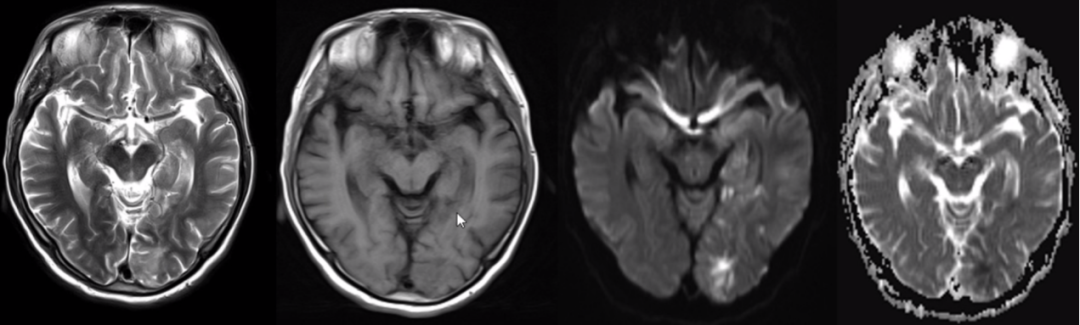
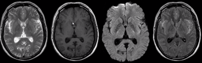
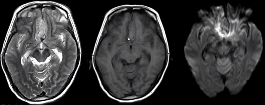
(2)Percheron 动脉梗死
发病机制为从一侧大脑后动脉 P1 段发出一条主干动脉(Percheron动脉)闭塞所致,该动脉分支供应双侧丘脑(如下图可见解剖学示意图)。

病因脑小血管病、心脏疾病、大动脉疾病等。
典型临床表现意识障碍、垂直注视麻痹、记忆力缺损三联征。
影像学表现:双侧丘脑、中脑长 T1 长 T2 信号;中脑“V”字征。

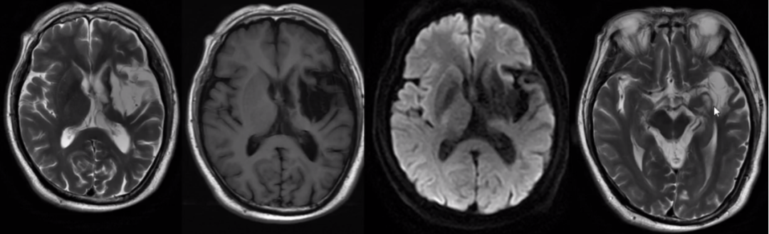
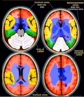
(3)静脉性脑梗死
MRI 表现与硬膜窦内血栓、静脉回流受阻造成的继发性脑实质改变有关:
脑实质改变包括水肿、出血灶。
脑白质(灰白质交界)出血。
DWI 表现不尽相同。
不同血管分布。

如下图可见案例:静脉性脑梗死与动脉性脑梗死对比


(上下滑动查看全部图片)
表:静脉性脑梗死与动脉性脑梗死对比

脑出血
1.脑出血
病因:高血压、动脉瘤、血管畸形、脑肿瘤。
常见部位:内囊基底节、丘脑;其次小脑、脑干、蛛网膜下腔。
病理分期:急性期(1 周内);吸收期(第 2 周~2 月);囊变期(&2 月)。
2.脑出血影像学表现
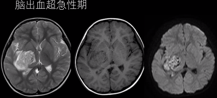
信号特征复杂,与血管内红细胞的完整性及血红蛋白的演变有关。
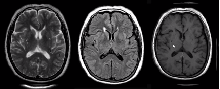
(1)超急性期 CT 高密度;T1WI 呈等或略低信号,T2WI 呈高信号。


(上下滑动查看全部图片)
(2)急性期 CT 高密度;T1WI 呈等信号,T2WI 呈低信号。

(3)亚急性期 CT 密度逐渐减低与脑实质相仿 1w、t2 呈高信号。

(4)慢性期 CT 囊性病灶,可见钙化;T2WI 高信号血肿周围被低信号含铁血黄素包饶。

3.特殊类型的脑出血
(1)蛛网膜下腔出血
颅内血管破裂,血液进入蛛网膜下腔。
病因:动脉瘤破裂(最常见)、高血压、血管畸形、外伤。



(上下滑动查看全部图片)
(2)前交通动脉瘤破裂出血


(上下滑动查看全部图片)
对本文的 MRI 图片有疑问或看不懂的地方,
