磨玻璃结节并不是一个具体的病名,它是一个影像上的术语,不一定就是肺癌。
什么是磨玻璃结节?
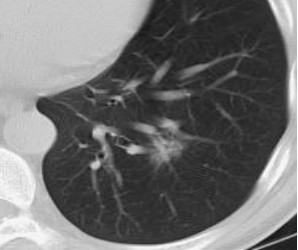
磨玻璃结节又叫磨玻璃影、毛玻璃结节等,在CT影像上跟磨砂玻璃一样故命名。
上次我们提到了磨玻璃密度影,它在CT上的表现是由于肺实质密度轻度增高,其中支气管血管束未被掩盖,可为斑片状或结节状,其中就包括磨玻璃结节,磨玻璃密度影可大可小,小于3公分磨玻璃密度影叫磨玻璃结节。

现在许多朋友做了CT,上面都会有个描述:磨玻璃结节,然后有些人就特别紧张,怕自己得了肿瘤。
肺部结节分为三种:实性结节、磨玻璃结节、混合实性结节。磨玻璃结节是肺部结节中的一种特殊类型,指肺内局灶性、结节状、淡薄密度增高影,结节内部原有结构如血管、气道及小叶间隔仍可见。
磨玻璃结节可分为两大类:1.不含实性成分的为单纯性磨玻璃结节; 2.伴有实性成分、掩盖部分肺纹理的为混合性磨玻璃结节。
磨玻璃结节并不是一个具体的病名,它是一个影像上的术语,有许多原因可以形成:
可以是良性病变如局灶纤维化、炎症或出血等,或者是癌前病如非典型腺瘤、原位腺癌,也可以是恶性肿瘤如原发性肺癌或肺转移瘤等。
磨玻璃结节如果是肺癌的话,也有可能是原位腺癌(AIS)、微浸润腺癌(MIA)和浸润性腺癌(IAC),目前认为原位腺癌是属于癌前病变,微浸润腺癌属于早期肺癌。

发现了磨玻璃结节怎么办?
对首次发现的磨玻璃结节应定期进行随访。推荐在结节首次发现后的定期进行首次薄层CT平扫检查。随访过程中,若结节明显缩小,则考虑良性病变可能。若结节持续稳定存在,可视病灶形态及大小等因素继续随访。
磨玻璃结节有一部分会消失,来也匆匆,去也匆匆。医生主要是根据小结节的影像学特征并结合动态变化来判断小结节的良恶性。
怀疑是肿瘤的肺部磨玻璃结节是否选择手术,取决于该结节所处的病理阶段:微小浸润腺癌、浸润腺癌建议手术治疗。如果原位癌在8毫米以上、病人心理压力大、愿意开刀这三个条件都满足,可以考虑手术。
#百里挑一#
什么是多发磨玻璃结节?
磨玻璃结节数超过两个的称为多发磨玻璃结节。
许多人把多发磨玻璃结节认为是肺部的转移性肿瘤,十分紧张,但近几年基因检测研究发现各个磨玻璃结节间存在明显的基因异质性,证实肺多发磨玻璃结节可能是多原发肿瘤而不是转移。
对于初次发现的肺多发磨玻璃结节,首先考虑随诊观察。

磨玻璃结节的病因有许多,其中有一小部分考虑是肿瘤,所以发现磨玻璃结节后,大家不要紧张,请及时就医,请专业医生来判断结节的性质,大部分的磨玻璃结节建议定期随访观察CT,动态看变化。如果有大小、形态、密度的改变,再决定下一步治疗方案。
想了解更多精彩内容,快来关注呼吸科孙思庆医生
