仅供医学专业人士阅读参考
要把PIH的问题说清楚,还真不容易。
炎症后色素沉着,表皮斑 or 真皮斑?其实我提出的是个伪命题,炎症后色素沉着(PIH)既有表皮型的,也有真皮型的。但要把PIH的问题说清楚,还真不容易。

01
什么是PIH?
炎症后色素沉着(PIH)是皮肤炎症或损伤后导致的色素增加性疾病,也称获得性皮肤色素沉着或炎症后黑变病。
临床上各种炎症性皮肤病、外伤、手术、化学剥脱术及激光治疗等都可能诱发PIH。
02
PIH的流行病学
PIH可发生于任何年龄和任何皮肤类型,男女发病率无差异。然而,它更常发生在Fitzpatrick皮肤类型IV、V和VI中。这可能是由于黑素细胞过度活跃。
PIH是有色人种激光换肤术后最常见的并发症,据报道,在接受过激光磨削术的亚洲人中,PIH患病率为11.1%~17.1%。PIH也是痤疮后较为常见的后遗症,一项相关研究显示,47.4%亚洲痤疮患者可出现PIH。
与白种人相比,有色人种更容易发生色素沉着,在亚洲人群中,肤色较深的种族也更容易发生PIH。
03
临床表现与分型
PIH通常表现为与初始炎症过程相同分布的无症状斑片或斑块。PIH的大小和形状各不相同,颜色从浅棕色到黑色不等。
当表皮色素增多时,常表现为棕褐色,而真皮中噬黑素细胞增多则呈蓝灰色或蓝黑色。然而,区分表皮和真皮PIH并不容易。

图源:常建民主编:《色素性皮肤病》

典型的固定性药疹及PIH

IPL所致PIH
04
如何区分表皮型与真皮型PIH
首先,它可以通过丁达尔现象引起的颜色变化来区分。由于丁达尔现象,观察者看到的真皮是“蓝色”的,因为蓝色的波长较短,不被真皮吸收,而是通过散射反射进入观察者的眼睛。因此,随着色素变深,呈现棕色→灰色→蓝色。
第二,使用伍德灯。伍德灯是一种使用320~400nm(360 nm)紫外线的装置。紫外线被黑色素高度吸收,而且波长短,无法穿透真皮。在Wood灯的照射下,表皮色素会比原来的颜色更暗(增强),因为它们吸收紫外线而不反射光线。相比之下,Wood的灯并没有改变真皮的色素沉着,因为紫外线无法到达真皮。因此,表皮色素看起来更深,而伍德灯下的真皮色素没有变化。
伍德灯的缺点是,对于Fitzpatrick VI型皮肤者,皮肤本身的颜色是深色的,因此伍德灯无法区分表皮和真皮的色素。Fitzpatrick的V型皮肤也很难用Wood's灯诊断。同时具有表皮和真皮色素的混合色素沉着也无法通过Wood's灯进行区分。
第三,一些作者建议进行皮肤拉伸试验,即皮肤拉伸后,表皮颜色变浅,真皮色素没有变化。
第四,可以进行活检。这是最精确的方法。然而,活检很少用于区分表皮和真皮色素沉着。通常做活检以确定潜在的原因。
有多种方法可以区分表皮色素沉着和真皮色素沉着,最常用的是由丁达尔现象引起的颜色变化。然而,真皮浅层的色素沉着如褐青色痣、黄褐斑和PIH有时难以区分。
05
PIH的病理表现
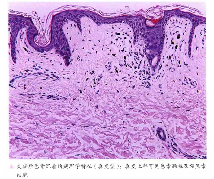
表皮型PIH的主要组织病理学特征是表皮黑素细胞色素合成增加;而真皮型PIH以伴有真皮内噬黑素细胞增多表现为主。


图源:常建民主编:《色素性皮肤病》
06
PIH的预后
表皮PIH会在6-12个月后消失,但真皮PIH消退可能需要数年时间。PIH恢复时间因部位而异,面部PIH通常在6个月后消失,而躯干或上肢PIH持续1-2年,下肢PIH持续3-4年。
参考文献:
[1]安庆,栾琪.炎症后色素沉着的治疗进展[J].中国激光医学杂志,2020,v.29(05):80-84.
[2]李敏、姜沛彧、刘韵祎等.皮肤炎症后色素沉着的研究进展[J].中国美容医学,2020,29(8):178-181.
本文来源:丛博士护肤课堂
本文作者:丛林博士
责任编辑:穆弦
