1岁半男孩确诊肾母细胞瘤,肿瘤瘤栓从左肾静脉经下腔静脉进入心脏。南京市儿童医院心胸外科、肿瘤病区等多学科联合救治,顺利完成难度极高的胸腹联合肿瘤切除手术,为孩子赢得一线生机。
半年的化疗效果不佳,医生决定放手一搏
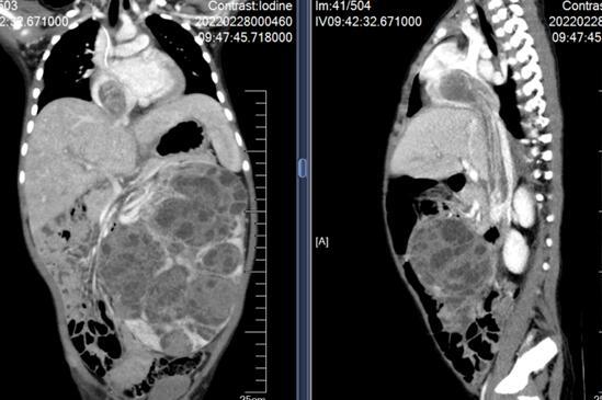
2021年底,家长发现1岁半的阳阳(化名)腹部有包块,至南京市儿童医院就诊。检查结果显示,阳阳的左肾巨大肿瘤,瘤栓从左肾静脉经下腔静脉进入心房。阳阳立即被收入该院肿瘤病区,经过活检确诊为肾母细胞瘤。
肿瘤病区李涛主任医师立即组织了心胸外科、肿瘤科和医学影像科专家进行多学科联合会诊。李涛介绍:“肾母细胞瘤累及范围这么大,非常少见。瘤栓像藤蔓一样,从左肾沿着血管一直向上爬到了心脏,几乎占满了心房。患儿年龄小,肿瘤恶性程度高,手术风险大,不能进行一期手术。只能先为阳阳实施化疗,待肿瘤分期和风险降低后再考虑手术。”

然而,化疗的效果却不尽如人意。经过五轮化疗,肿瘤并未缩小,心房瘤栓有变大趋势,阳阳的治疗再次陷入极度困难的境地。如果不能手术切除肿瘤及瘤栓,患儿的预后肯定不好。如果手术,理论上会带来一线生机,增加治愈的几率,但是肿瘤的切除需要胸腹联合手术,面临着出血、栓塞等极高风险。
心胸外科主任莫绪明牵头的治疗小组一直关心着阳阳的病情,数次组织多学科讨论,认为化疗不能降低手术难度的情况下只能放手一搏。莫绪明说:“我们不能保证恶性肿瘤的孩子术后一定能完全康复,但我们的责任就是尽己所能,给孩子多一线希望。”
多学科联合手术,一次手术切除全部肿瘤
术前,莫绪明针对瘤栓脱落栓塞可导致立刻死亡、下腔静脉段肿瘤剥离极度困难等手术难点,制定了严密的手术方案。手术先由肿瘤病区李涛主任团队进行左肾肿瘤切除、全肝游离暴露全程下腔静脉。再由莫绪明主任手术团队为患儿建立体外循环,让心脏暂时“停工”,阻断肺动脉,打开心脏游离心房瘤栓,采用近远端联合的方式顺利切除了下腔静脉和心房的瘤栓。
整个手术历时8小时,术后阳阳立即被送往CCU(心胸外科重症监护室)。术后第二天,阳阳很快便恢复自主呼吸,逐步脱离呼吸机,一周后转入肿瘤病区继续接受放化疗。
南京儿医的手术团队通过一次手术便完整将心血管内巨大瘤栓及肾肿瘤切除,成功避免了瘤栓脱落等多种风险的发生,术后也未出现器官并发症,成功为阳阳的后期治疗创造了条件,也为他赢得了更多治疗的机会和治愈的希望。
通讯员张艾萱 南京晨报/爱南京记者钱鸣
医院供图
