湖南平江56岁的李先生在翻看自己十年前的照片时,发现现在的自己鼻子明显变大,手脚掌也变得肥厚、宽大,手指、脚趾变粗,嘴唇肥厚且突出,形似电影里的“巨人”!
打小身体健康,没得过啥病的李先生没有重视,但是在跟周围朋友说起后,身边人给了非常多的“诊断”。有说是吃多了不运动发胖了!也有说他这是得了糖尿病!还有人说他是得了风湿!
为了搞清楚自己到底是怎么了,李先生来到湖南省第二人民医院(湖南省脑科医院)神外二科就诊,经过主任医师李鑫的细致诊查,发现原来是李先生脑袋里长了个垂体瘤,这一切的变化都是这个“瘤”在作祟。
听闻自己脑袋里长了“瘤”,李先生一下子就慌了,非常担心,主任医师李鑫为了缓解患者的焦虑,详细地讲解了垂体瘤相关知识,并且告诉患者解决这个问题,他们有“小妙招”——“内镜下经鼻蝶垂体肿瘤切除术,”仅需通过神经内镜从鼻子里就可以完成手术,属于微创治疗,头面部没有切口,创伤小,恢复快,手术时间短。
李先生顿时松了一口气,最终在神外二科主任李鑫、主任医师谢志敏团队精心手术下,李先生顺利完成了手术并且术后各项指标下降至正常范围。李先生自诉平时夜里打鼾的情况也明显缓解,全身变得轻松自如了起来,目前已康复出院。

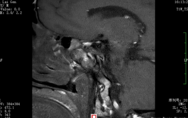
术前MRI检查
什么是垂体瘤呢?垂体瘤是一组从垂体前叶和后叶及颅咽管上皮残余细胞发生的肿瘤,约占颅内肿瘤的10%。大部分为良性肿瘤。垂体瘤按功能主要分为功能型垂体瘤和无功能型垂体瘤。
功能型垂体瘤激素分泌活跃,根据分泌激素的不同,又可分为多种包括:生长激素型、泌乳素型、促肾上腺皮质激素型、甲状腺激素型及性腺激素型等,因此患者出现的症状也会各不相同。无功能型垂体瘤无激素分泌活性,往往发现时已经由于瘤体较大出现周围神经压迫症状。

术后MRI检查
患了生长激素型“垂体瘤”后身体会有什么变化呢?让我们一起来了解一下,这种垂体瘤起病隐匿,进展缓慢,以骨骼、软组织、内脏增生肥大为主要特征,表现为面容改变、手脚趾末端肥大、皮肤增厚、内脏增大、骨关节病变。
如果任由垂体瘤继续增大,轻则导致视力下降、失明,重则引起头痛、呕吐、昏迷甚至死亡。如果发现自己在几年内鞋号越来越大、颧骨突出、额头变宽、手指变粗、皮肤粗糙,女性莫名停经、泌乳,男性功能下降、乳腺发育、不育等症状时,要警惕是否垂体瘤所导致,一定要尽快就医!
湖南医聊特约作者:湖南省第二人民医院(湖南省脑科医院)科教部 郭发 神外二科 赖文涛
关注@湖南医聊,获取更多健康科普资讯!
(编辑YH)
