6小时的手术,6位专家的强强联合,20*16*15cm的巨大肿块,将盆腔几乎“掏空”再“重建”,近日,在湖南中医药大学第二附属医院(湖南省中医院)进行了一台“全盆腔脏器切除手术”,成功救治了一位晚期恶性结肠肿瘤的患者,给患者迎来新生。
癌症阴霾笼罩,专家指引手术希望
55岁的胡先生(化名)在1年前出现了无明显诱因的体重异常,1个月内足足下降了有10多斤,在当地医院就诊后确诊为“乙状结肠癌”,因分期偏晚,当地医院综合考虑后予以术前新辅助化疗,在接受了前后近8次化疗后,肿瘤未见明显减小,胡先生仍有腹胀腹泻及尿频症状。
近2个月,胡先生的症状较前明显加重,严重影响了日常生活。经化疗后最后一次复查发现胡先生的“乙状结肠癌”竟是较前增大了,治疗效果不理想,胡先生决定进行手术治疗,几经周折,就诊过多家医院,均表示建议保守治疗。
经熟人介绍湖南中医药大学第二附属医院(湖南省中医院)普通外科微创主任中心主任、主任医师尹晖明在治疗肠道肿瘤方面经验非常丰富,8月16日,胡先生来到此院寻求进一步治疗。
在仔细检查评估后,尹晖明主任发现,胡先生体内肿瘤十分巨大,累及盆腔内大部分脏器,乙状结肠、部分回肠、回盲部、升结肠、膀胱、右侧盆壁等部位,毗邻腹盆腔重要脏器及重大血管主干及分支,合并肠梗阻、中度贫血、低蛋白血症、严重营养不良等多种并发症,手术难度和危险程度相当高。
“患者的肿瘤太大,病变侵及多个器官,与腹膜后大血管分界欠清,如何根治性的切除这么大的肿瘤且尽量保护周围血管、神经,并保证患者远期预后,是手术的难度所在”,尹晖明主任表示。


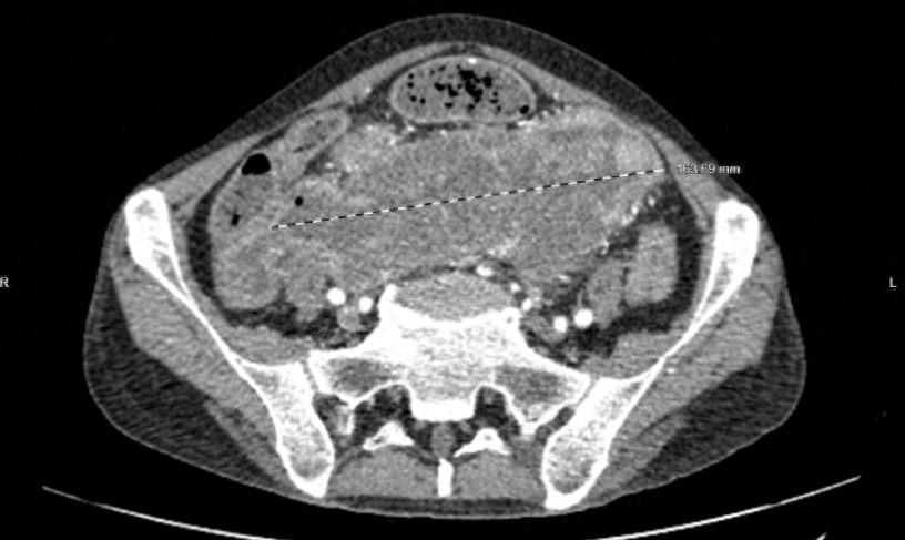
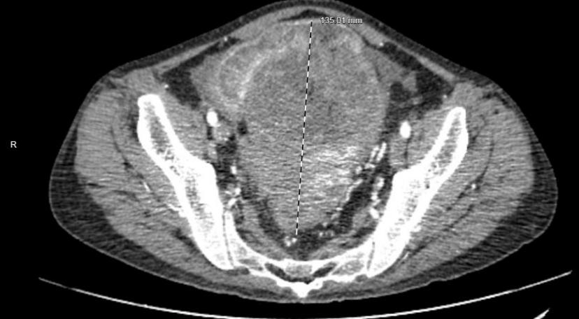
▲CT下胡先生体内的巨大肿瘤
多学科合作,共克巨大肿瘤难关
为确保将手术风险降到最低,经过多学科评估以及周密的围术期管理方案,在患者贫血及低蛋白血症等得到有效纠正的前提下,8月23日,医院普通外科主任尹晖明带领团队医生副主任医师谢承志、主治医师唐曙光、住院医师邓浩进行了“乙状结肠恶性肿瘤根治术+腹腔镜下全盆腔脏器切除手术”,术中见盆腔肿瘤大小约20*16*15cm,如术前所预计的一样,乙状结肠肿瘤累及部分回肠、回盲部、膀胱、右侧盆壁,术中行乙状结肠癌根治+全盆腔淋巴结清扫+部分回肠升结肠切除+膀胱全切。将降结肠与直肠残端吻合,保住患者的排便功能,明显提升了患者术后的生活质量。
肿瘤侵犯膀胱,行膀胱全切后,在泌尿外科副主任医师周浩的协助下,决定采用“移花接木”的方法——巧用小肠代膀胱,施“输尿管回肠输出道吻合+造口术”。在麻醉科黄珍主任的带领下,麻醉科为胡先生进行了全身麻醉并密切监控手术全程,确保了手术的安全进行,为外科医生打下了坚实的基础。整个手术历时6个小时,手术圆满成功。
术后,胡先生生命体征平稳。考虑其基础情况差,转ICU稳定病情,次日拔除气管插管后病情稳定,手术后第二日即转普通外科微创中心病房治疗,为了避免胡先生术后出现的恶心呕吐、肠痉挛、喉炎等症状,同步实施了包括耳穴压豆、针灸治疗以及中药调理在内的多种中医药疗法。随着盆腔巨大肿瘤的成功“拆除”,胡先生及家人心里的石头也终于落下。

▲尹晖明主任对转至普通病房的患者进行查房,并叮嘱其术后康复事宜
全盆腔脏器切除手术——对大众来说,听上去便感觉创伤很大,出血很多,是医生要用尽“九牛二虎之力”来处理疾病的一种“大手术”。临床实践也确实如此,全盆腔脏器切除手术是结直肠外科难度最大、最复杂的手术之一。
尹晖明主任介绍,这类手术的“难点”有四,一是手术部位又深又窄,手术可操作空间极小;二是盆腔血管分支增多,出血风险高;三是盆腔内神经丰富,操作不当易影响盆腔内脏器和下肢的活动功能;四是累及器官多,功能重建困难。
湖南中医药大学第二附属医院(湖南省中医院)调动多学科会诊、组织多学科专家联合手术,各取所长,有效解决了手术中的难题,降低了手术风险。
乙状结肠癌揭秘:从隐匿到全盆腔切除的警示
那么,胡先生所患的“乙状结肠癌”又是个什么疾病?怎么就到了要进行“全盆腔脏器切除”的程度了呢?
“乙状结肠癌是结肠癌最常见的形式,但起初大都隐匿,一般不容易被发现,所以很多患者容易忽略,才导致病情的进一步恶化。”尹晖明主任表示,乙状结肠癌前期患者可能仅仅会感到腹胀不适和消化不良,而后出现排便习惯的改变,如便次增多,腹泻,便秘,血便等。
当肿瘤发展到一定阶段,特别已经引起梗阻时则引发一系列虚弱、乏力、贫血、不明原因的体重下降、持续性腹痛、黑便或鲜血便等症状。
因此,如果持续性出现排便习惯改变、腹痛、腹泻、便秘等症状,或突然出现腹部剧痛、意识模糊、体重骤减等严重病症表现,应及时到医院就诊治疗。
尹晖明主任介绍,乙状结肠癌的治疗首先强调手术切除,并注重联合术前化疗、放疗等综合治疗以提高手术切除率,降低手术后并发症和肿瘤的复发。
乙状结肠癌可发生于任何年龄,发病年龄多为50岁以后,女性发病率略高于男性。临床数据显示,大约四分之一的新发病人有结直肠癌的家族史,某些结肠疾病如克隆氏病或溃疡性结肠炎,也会增加结直肠癌的发病率。
尹晖明主任建议,有家族病史的高危人群及45岁以上的人群最好每年进行粪便隐血检查和肠镜检查一次,以及早发现结肠病变并加以控制;日常生活中也需要加以管理。
在饮食方面,平时要多饮水,多吃富含膳食纤维的蔬菜水果,如菠菜、油菜、白菜、芹菜、韭菜、萝卜等;同时,要注意戒烟、戒酒、避免熬夜、增加体育锻炼,在一定程度上可降低乙状结肠癌的发生风险。
据了解,尹晖明主任团队着力于为各种消化道、腹腔及腹膜后肿瘤的病人提供特病特治,为不同的患者提供个体化治疗方案,全盆腔切除术目前在湖南省能开展的医院廖廖无己;湖南中医药大学第二附属医院(湖南省中医院)普外科微创中心在全盆腔器切除术方面有着丰富的经验,并且对于直肠癌术后复发再保肛,保功能的直肠癌术后复发再根治,局部晚期的结直肠癌手术方面有相当成熟的治疗经验。
湖南医聊特约作者:湖南中医药大学第二附属医院(湖南省中医院) 陈安妮 邓浩
关注@湖南医聊,获取更多健康科普资讯!
(编辑YH)
