83岁的李爷爷数年前开始出现排尿费力、尿不尽等症状,在当地医院被诊断为前列腺增生、膀胱结石,并采取了口服药物的治疗方案,但效果不佳。
近期,李爷爷感觉排尿费力的症状有所加重,并且伴有尿频、尿急,一晚上要上7-8次厕所,严重影响日常生活。他便来到湖南中医药大学第一附属医院就诊。
检查结果

(膀胱内大量结石)
检查发现,李爷爷的膀胱里面已经长满了结石,前列腺达到了68x61x54毫米,属于极重度前列腺增生。

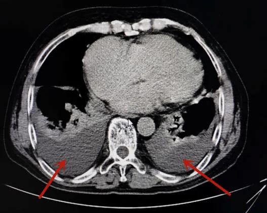
(双侧胸腔积液、心脏扩大)
询问病史得知,最近一个月来,李爷爷体力明显不如从前,步行100米都会喘气。医生立即为其完善胸腹部CT、心脏彩超及心电图等检查,结果显示李爷爷双侧胸腔有积液,心脏扩大,并伴有左心室舒张功能减退、心房颤动等,被诊断为心衰、房颤。
治疗方案
医院立即组织泌尿外科、心病科进行多学科会诊,决定先将李爷爷转至心病科控制心衰,情况稳定后再转至泌尿外科行手术治疗。
在心病科,医护团队为李爷爷抽出胸水,以缓解出气困难的症状,同时予以强心、利尿、扩血管、控制心室率、抗凝、调脂、补钾及降尿酸等对症处理。
一周后,李爷爷身体情况逐渐好转,遂转至泌尿外科接受手术治疗。

泌尿外科主任唐汇龙介绍,一般情况下,前列腺增生合并膀胱结石的患者可以采取经尿道膀胱结石激光碎石取石术+经尿道前列腺激光剜除术的手术方式,一次解决两个问题。
然而,李爷爷的膀胱结石体量巨大,通过经尿道激光碎石的方式,难以在短时间内完成手术,将增大手术风险。
针对李爷爷的病情,泌尿外科组织开展科内会诊讨论,唐汇龙主任和杨华伟副主任医师决定,采取耻骨上膀胱造瘘取石术+经尿道前列腺激光解剖性剜除术,在患者的膀胱上打一个小洞,将结石一次性清理出来,同期经尿道进行前列腺剜除,最大程度缩短手术时间,减少手术伤害。
同时,经与麻醉手术科沟通会诊,手术决定选择腰麻的方式,尽量减少麻醉对李爷爷心肺功能的影响。

(术中取出的膀胱结石)

(术中取出的前列腺组织)
手术历时3小时左右顺利完成,将李爷爷的膀胱结石和前列腺增生腺体一次性解决。术后,李爷爷尿频、尿痛、排尿费力、尿不尽等症状基本消失。
健康科普
前列腺增生是年龄和雄激素共同作用的结果,前列腺增生的发病率随年龄递增。随着我国步入老龄社会,前列腺增生发病率逐年上升。
前列腺增生患者往往表现为排尿困难、尿频、尿急、排尿不尽感等典型症状,但也可能出现尿潴留、血尿、膀胱结石、肾功能不全,甚至尿毒症等严重并发症。
对于部分轻度前列腺增生患者,药物治疗可以改善症状、缓解病情。对于存在梗阻症状明显、引起并发症及药物疗效欠佳的患者,往往需要通过外科干预达到治疗目的。
湖南中医药大学第一附属医院泌尿外科唐汇龙主任团队自2016年开展钬激光治疗前列腺增生手术方式——经尿道刀口变向钬激光前列腺剜除术,目前已成功完成四千余例。
该术式经尿道通过内窥镜插入光纤直至患部,利用可360°旋转的光纤传导激光,钝性分离前列腺增生腺体与包膜之间的间隙,将增生的腺体完整剜除,再以组织粉碎器将腺体切成碎块吸出体外。
湖南中医药大学第一附属医院坚持“以患者为中心”的服务理念,已建立成熟的多学科诊疗机制,根据患者具体情况,制定跨学科、个性化、针对性的治疗方案,以实际行动服务患者健康。
湖南医聊特约作者:湖南中医药大学第一附属医院 吴晓航 杨华伟
关注@湖南医聊,获取更多健康科普资讯!
(编辑Wx)
